新闻中心

世和NGS助力深度解析弥漫性中线胶质瘤H3F3B p.K27I罕见亚型

世和基因肿瘤基因检测

导语

携带典型H3K27M突变的弥漫性中线胶质瘤(Diffuse midline glioma,DMG)是一种预后不良的恶性肿瘤,包括四种亚型:H3.3突变体、H3.1/H3.2突变体、EZHIP过表达的H3野生型和EGFR突变型。经典的DMG以组蛋白H3.3的突变为特征,主要是H3F3A p.K27M突变,而H3F3B(同样编码H3.3)突变极为罕见,因此H3F3B p.K27I突变型DMG的临床病理学和基因组特征仍缺乏系统性描述。


首都医科大学宣武医院滕梁红教授、菅凤增教授、王雷明教授团队,联合三博脑科医院、陆军军医大学西南医院与世和基因合作,共收集9例H3F3B p.K27I突变DMG患者的肿瘤标本及临床资料,对肿瘤标本进行DNA甲基化测序和世和一号®大Panel靶向NGS测序。同时,研究纳入了4例外部患者临床信息及DNA突变数据共同分析,结合影像学、病理学和分子特征深入解析了该肿瘤亚群。研究成果已在Acta Neuropathologica Communications (IF=5.7)发布。


研究亮点


1、迄今最大的H3F3B p.K27I突变型DMG队列,系统描绘了其临床病理、影像和分子特征谱,揭示了具有关键临床意义的独特生物学特征,为后续研究奠定了坚实基础。


2、研究提示,对于表现为H3K27me3丢失、且H3K27M或EZHIP免疫组化均为阴性的神经胶质瘤,应进行NGS检测以明确其分子特征。


研究内容


临床病理学特征


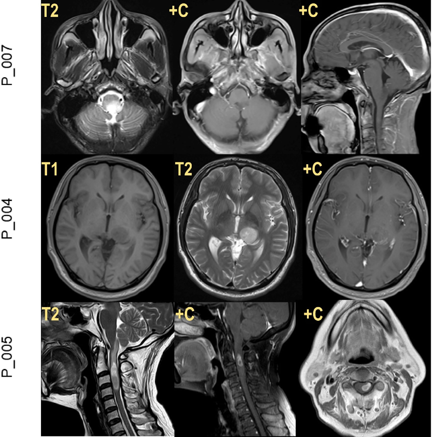
研究纳入的所有13例H3F3B突变型DMG患者,包括9名男性和4名女性,平均诊断年龄为46岁±6.86岁,显著高于H3K27M突变型DMG患者。 从解剖学分布看,这13例分别为6例脊髓、5例脑干、2例丘脑受累(图1)。


本地队列9例患者,病理组织学评估发现肿瘤样本形态学具有异质性,3例为弥漫性星形细胞瘤、3例为间变性特征、其余3例均为胶质母细胞瘤特征。IHC结果显示,所有样本均显示H3K27M免疫染色阴性、完全/镶嵌样H3K27me3表达缺失、且无EZHIP (CXorf67)表达或ATRX表达缺失现象(图1)。


世和基因肿瘤基因检测

世和基因肿瘤基因检测

图1. H3F3B p.K27I突变型DMG的影像及病理学特征


H3F3B p.K27I突变型DMG具有独特的分子特征


DNA甲基化t-SNE聚类分析显示,H3F3B p.K27I突变型DMG单独聚为一类,与其他所有H3K27me3缺失的DMG分离,包括 H3K27M突变型DMG、EGFR改变型DMG和后颅窝A组(PFA)室管膜瘤。鉴于肿瘤部位对甲基化模式有显著影响,本研究特设11例累及脊髓的H3K27M突变型DMG作为解剖学对照,再次证实了H3F3B p.K27I突变型DMG独特的表观遗传特征(图2)。


此外,基于世和一号®的检测结果,研究进一步解析了H3F3B p.K27I型DMG的突变特征,发现该亚群具有独特的基因组改变。与H3K27M型DMG相比,H3F3B p.K27I型DMG中最常见的突变基因为PPM1D(6/13, p=0.004)和NF1(6/13, p < 0.001),其次为TP53(4/13),未检测到ATRX突变或MGMT启动子甲基化(图2)。


世和基因肿瘤基因检测

世和基因肿瘤基因检测

图2. H3F3B p.K27I突变DMG的表观遗传景观和突变图谱


H3F3B p.K27I突变型DMG的临床生存分析


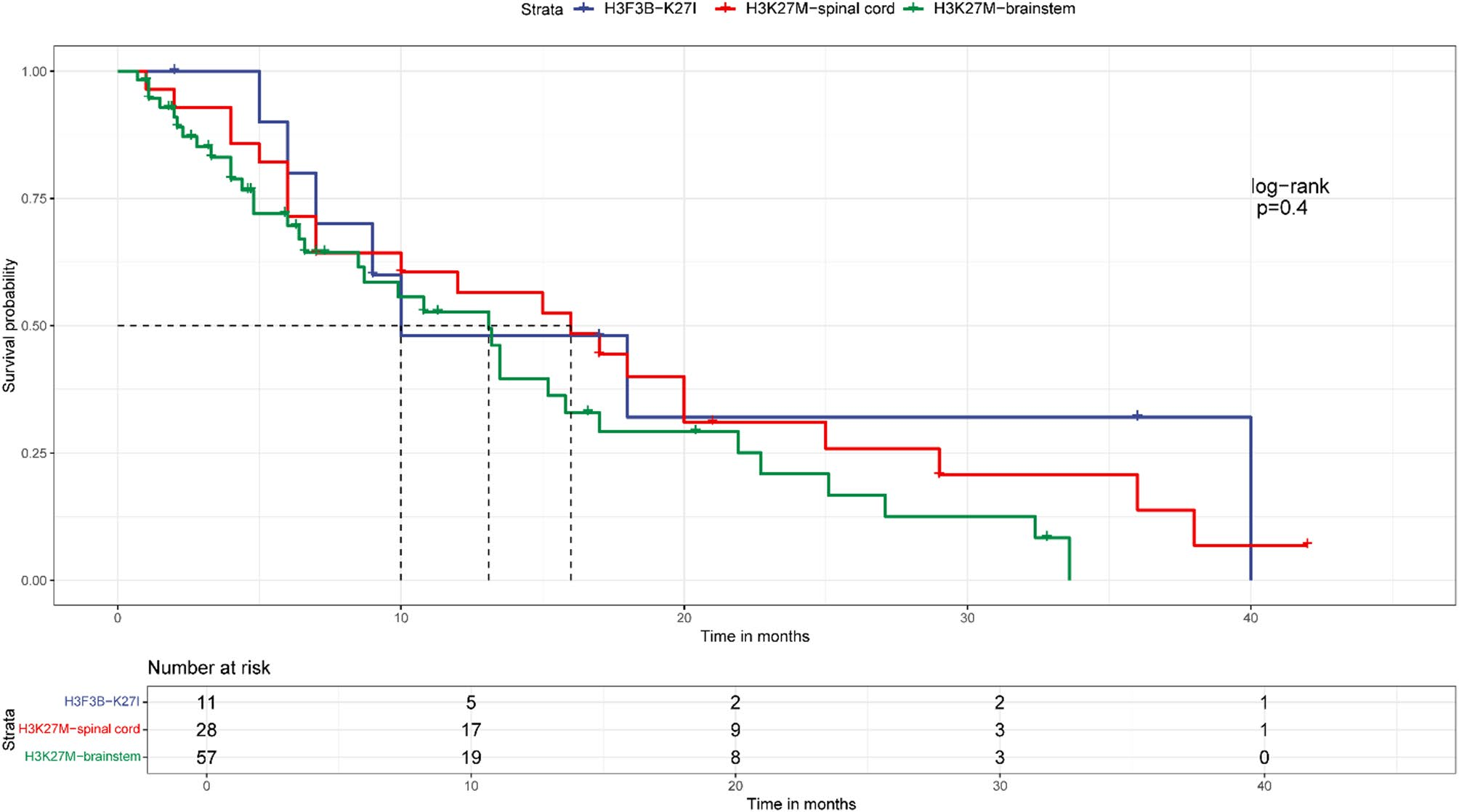
研究比较了11例H3F3B p.K27I突变型、28例脊髓H3K27M突变型及57例脑干H3K27M突变DMG患者的生存结局,三组均显示相似且较差的预后。 鉴于其表观遗传与突变特征差异显著而生存结局相近,这提示H3F3B p.K27I突变型DMG的肿瘤发生发展可能同时受保守与特异分子驱动影响,仍需更大规模研究进一步阐明其潜在的分子机制(图3)。


世和基因肿瘤基因检测

图3. H3F3B p.K27I突变、脊髓H3K27M突变和脑干H3K27M突变DMG患者的生存结果


总结


H3K27突变型弥漫性中线胶质瘤是一种罕见且预后不良的疾病,其经典亚型为H3F3A p.K27M突变,而罕见的H3F3B p.K27I突变型DMG却鲜有研究报道。本研究系统描绘了H3F3B p.K27I突变型DMG的影像学、病理学和分子学特征,深入解析了H3F3B p.K27I突变型DMG的生物学特性,结果显示,其突变谱和表观遗传特征与H3K27M突变型DMG存在显著差异。临床实践中,对于表现为H3K27me3丢失且H3K27M或EZHIP免疫组化阴性的神经胶质瘤,建议进一步行NGS检测以明确其分子突变特征。


专家简介


滕梁红 教授

滕梁红 教授

首都医科大学宣武医院病理科

主任医师、教授、博士生导师


  • 首都医科大学宣武医院病理科主任

  • 首都医科大学临床病理学系常务副主任

  • 中华医学会病理学分会青年学组副组长

  • 国家卫健委能建与继续教育病理学专家委员会副主委

  • 中国医疗保健国际交流促进会病理学分会副主委

  • 中国医师协会病理医师分会委员

  • 中国抗癌协会肿瘤病理专委会常委

  • 中国临床肿瘤学会肿瘤病理专委会常委

  • 北京医学会病理学分会副主委

  • 北京医学会病理学分会神经病理学组组长

  • 《中华病理学杂志》编委

  • 《中华医学杂志英文版》通讯编委



菅凤增 教授

菅凤增 教授

首都医科大学宣武医院神经外科

主任医师、教授、博士生导师


  • 中国医师协会神经外科分会脊柱脊髓专家委员会主任委员

  • 中华医学会神经外科分会脊柱脊髓学组副组长

  • 华人神经脊柱外科理事会理事长

  • 北京脑重大疾病研究院脊柱脊髓研究所所长

  • 主持科技部国家重点研发计划、国家自然科学基金、国家863科技支撑计划、北自然重点研究专题及其他省部级科研项目十余项,总经费2000多万。

  • 以第一/通讯作者身份在NEUROSURGERY, Spine,Journal of Neurosurgery-spine, Journal of Pathology,Fluids and barriers of the CNS,Neuromodulation等专业权威期刊上发表SCI论文累计100余篇。

  • 主持编写多部专业书籍,任 NEJM、NEUROSURGERY等多本国际权威期刊审稿人。



王雷明 教授

王雷明 教授

首都医科大学宣武医院病理科

副主任医师、副教授


  • 首都医科大学宣武医院病理科副主任

  • 北京市优秀青年人才

  • 北京市科技新星

  • 首都卫生健康系统青年榜样

  • 中华医学会病理学分会科研工作委员会委员

  • 中国抗癌协会神经肿瘤专业委员会委员

  • 中国抗癌协会脑胶质瘤专业委员会委员

  • 主要从事病理诊断及分子病理工作,聚焦于神经肿瘤的分子病理诊断及相关机制研究。

  • 以第一/通讯作者身份在在Am J Surg Pathol, J Thorac Oncol, Brain pathology, Annals of Neurology等专业权威期刊上发表SCI论文累计40余篇。


参考文献

Cheng L, Zhou M, Luo T, Dong R, Chen N, Cai X, Wang X, Wu H, Chen Z, Wang Z, Qi X, Lu D, Teng L, Jian F, Wang L. H3F3B p.K27I-mutant diffuse midline glioma is a distinct subtype of H3K27-altered diffuse midline glioma. Acta Neuropathol Commun. 2025 Aug 23;13(1):183. doi: 10.1186/s40478-025-02101-0. PMID: 40849656; PMCID: PMC12374277.