新闻中心

世和一号®大Panel揭示肉瘤样/横纹肌样透明细胞肾细胞癌分子图谱及预后治疗标志物

微信图片_2026-04-02_172305_760.png

导语

透明细胞肾细胞癌(ccRCC)是最常见的肾癌亚型,但当肿瘤出现肉瘤样分化或横纹肌样分化时,其恶性程度显著升高、预后极差,是临床极具挑战的高危亚型。然而此类肿瘤因形态特殊、分子机制不明,长期缺乏精准诊疗依据。

宁波市临床病理诊断中心张慧芝教授团队与世和基因合作,基于世和一号®NGS大Panel等多组学技术,系统解析伴肉瘤样/横纹肌样分化ccRCC的临床、病理与分子特征,明确TP53突变为不良预后标志物,TSC/MTOR通路异常为潜在治疗靶点,为该类高危肾癌的精准分型与个体化治疗提供关键依据。相关成果已于近日在Elsevier旗下权威病理学期刊Human Pathology发表。

研究内容

研究回顾纳入2019–2024年于宁波市临床病理诊断中心确诊的21例伴肉瘤样/横纹肌样分化ccRCC病例,通过整合病理形态学特征、免疫组化结果、世和一号®NGS大Panel测序信息及生存随访数据,对该特殊亚型进行了多维度全景解析。

临床表现及组织学特征

该队列以老年男性为主(19/21),中位年龄64岁,肿瘤平均直径6.1cm,并呈现高度侵袭性。

  • 14例患者肿瘤伴肉瘤样分化,11例伴横纹肌样分化,另有4例同时存在两种分化;

  • 多数肿瘤伴有坏死(16/21),部分出现脉管侵犯/远处转移(8/21);

  • 在可获得随访信息的20例患者中,6例死于该病,中位肿瘤特异性生存期仅18.8个月,提示该亚型肿瘤具有极高侵袭性。

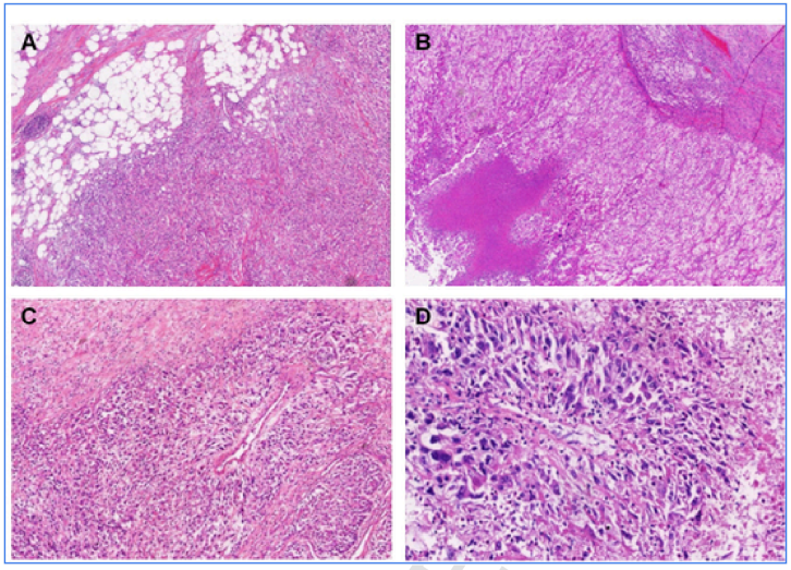
微信图片_2026-04-02_172320_400.png

图 1. 肉瘤样ccRCC组织学特征

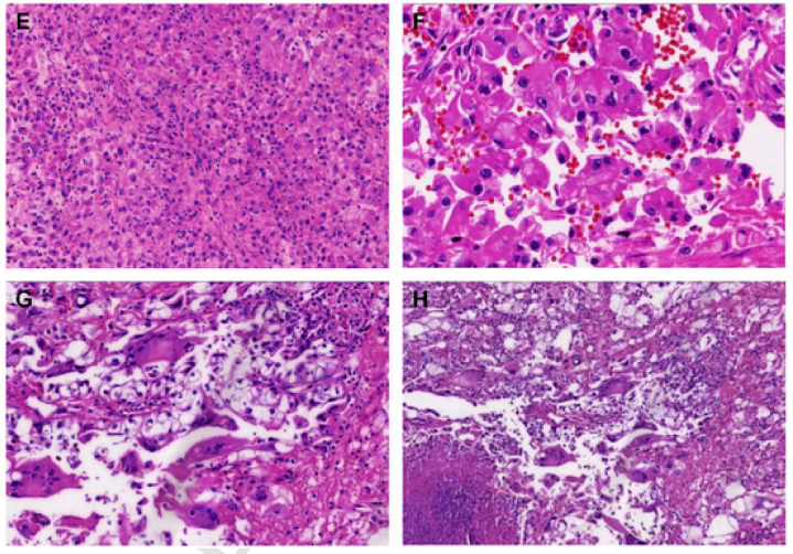
微信图片_2026-04-02_172323_874.png

图2. 横纹肌样ccRCC组织学特征

免疫组化特征

免疫组化显示,所有病例均表达PAX8、CD10、CA9、Vimentin,符合ccRCC诊断;不表达CK7、CD117、TFE3、HMB45、GATA3及ALK,可排除其他肾癌亚型。P504S在大部分病例呈弥漫或局灶阳性,Ki-67 平均增殖指数约16%,提示肿瘤具有高增殖活性。

分子遗传学特征

研究通过世和一号®NGS大Pane检测,揭示了本组病理的清晰分子图谱:

  • 驱动突变:VHL改变最为常见(90.5%,19/21),是 ccRCC 发生的起始驱动事件;

  • 染色质重塑基因:PBRM1(52.4%,11/21)、BAP1(33.3%,7/21)和SETD2(19.0%,4/21)异常高频出现,与肉瘤样 / 横纹肌样分化密切相关;

  • 预后关键基因:TP53突变发生率为33.3%(7/21),与不良预后显著相关(p=0.049),是关键不良预后标志物;

  • 潜在治疗靶点:TSC1/TSC2/mTOR通路异常见于28.6%(6/21)的病例,预示患者可能从mTOR抑制剂治疗中获益。

微信图片_2026-04-02_172327_298.png

图3. 肉瘤样/横纹肌样ccRCC基因突变图谱

微信图片_2026-04-02_172330_777.png

图4. TP53突变型ccRCC总生存期更短

结语

本研究首次系统描绘了伴肉瘤样/横纹肌样分化ccRCC的临床病理与分子特征图谱,并基于世和一号®NGS大Pane检测,明确了TP53为该亚型独立预后因子。此外,研究还发现TSC/MTOR通路异常可作为潜在治疗靶点,亦阐明PBRM1、BAP1、SETD2等染色质重塑基因在肉瘤样/横纹肌样转化中的关键作用,上述结果为该类罕见高危肾癌的预后分层、精准治疗策略制定提供了循证医学证据,有助于推动其个体化诊疗的进一步发展。

专家简介

微信图片_2026-04-02_172334_224.png

张慧芝 教授

宁波市临床病理诊断中心

副主任医师、硕士研究生导师,组织病理一科副主任(主持工作)

  • 宁波市医学会病理学分会委员兼秘书

  • 浙江省医师协会病理科医师分会青年委员会副主任委员

  • 浙江省医学会病理分会青年委员

  • CACA 第六届肿瘤病理专委会青年委员

  • 中日医学科技交流协会病理检验医学分会委员

  • 2018 年度宁波市临床病理诊断技能竞赛一等奖

  • 2018 年度浙江省临床病理诊断技能竞赛个人三等奖及团体三等奖

  • 2019 年度宁波市临床病理诊断技能竞赛一等奖

  • 荣获 2019 年度“宁波市技术能手”称号

  • 入选 2020 年宁波市卫生健康青年技术骨干人才第一批培养对象

  • 入选 2023 年宁波市甬江人才工程领军拔尖人才培养项目

  • 2021 年宁波市卫生健康委员会优秀共产党员

  • 2022 年宁波市总工会命名为 “五一巾帼标兵”

  • 主持和参与厅局级科技项目 3 项,发表论文 30 余篇

参考文献

Yu, Yue, et al. "Clinical, Pathologic, and Molecular Profiles of Sarcomatoid and Rhabdoid Differentiated Clear Cell Renal Cell Carcinoma: A Series of 21 Tumors." Human Pathology (2026): 106099.