新闻中心

极罕见!成人颗粒细胞瘤发生肝样转化,世和一号®大Panel揭示分子驱动机制

微信图片_2026-04-14_152709_332.png

导语

成人颗粒细胞瘤(AGCT)是一种罕见的卵巢肿瘤,多呈低级别恶性生物学行为,偶可发生高级别转化,但高级别肝样转化此前全球未见报道。桂林医科大学第一附属医院林静教授团队与世和基因合作,依托世和一号®大Panel检测,首次在一例成人卵巢颗粒细胞瘤中发现高级别肝样转化,并揭示FOXL2与TP53共突变是驱动转化的核心分子事件。相关成果已在Elsevier旗下病理学权威期刊Pathology–Research and Practice发表。

研究结果

患者为51岁女性,绝经2年,因阴道不规则出血2周余就诊。

临床表现及组织学特征

  • 影像学提示,右侧附件区巨大实性占位(15 × 9.8 × 14 cm);

  • 血清学提示,AFP升高(1210 ng/mL)、CA125升高(122 U/mL);

  • 组织病理显示,肿瘤由高级别肝样转化区域和经典AGCT区域组成,两者之间可见过渡带,支持转化关系。

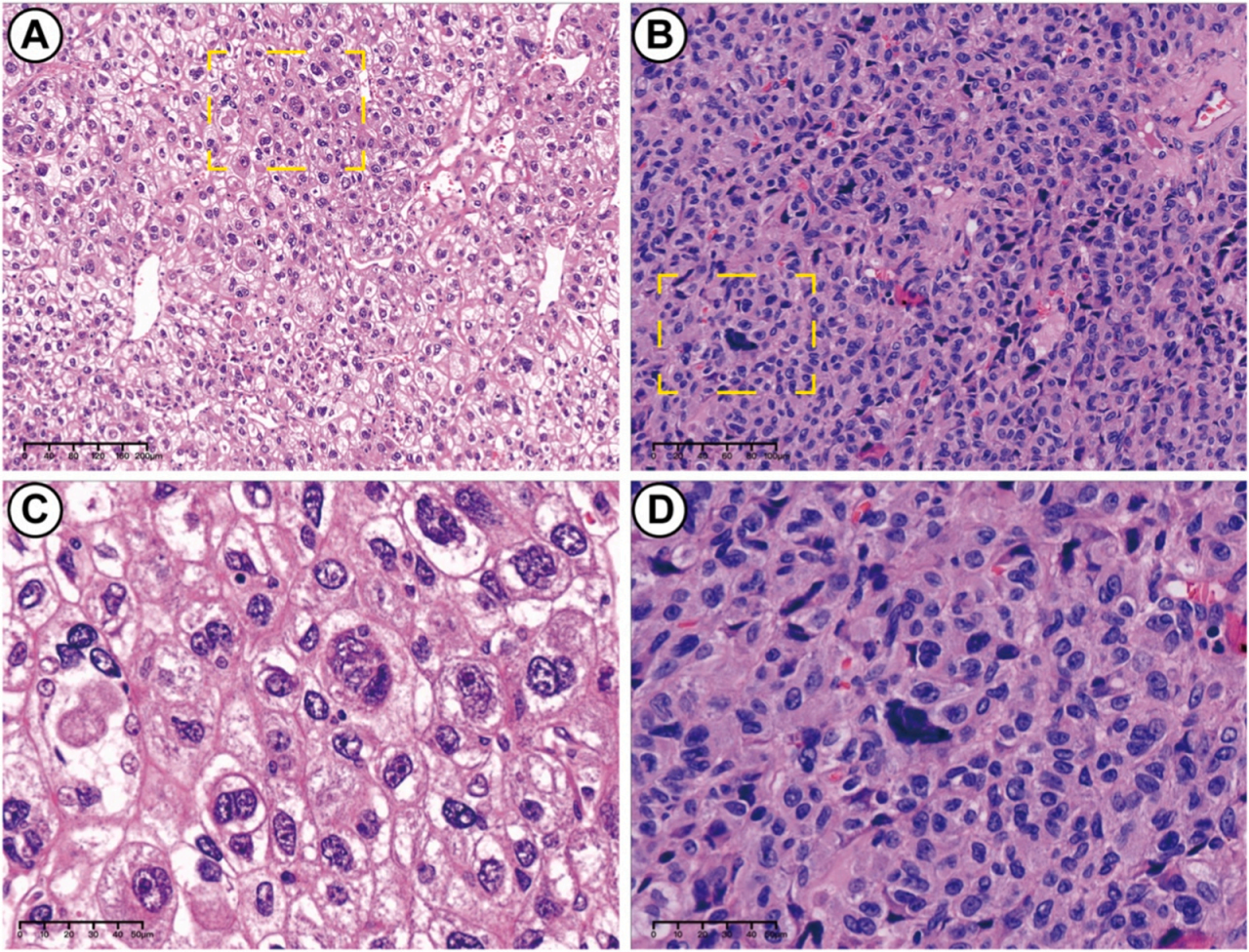
微信图片_2026-04-14_152726_177.png

图 1. 肝样转化型(左)与经典型(右)的形态学特征

免疫组化特征

  • 肝样转化区:AE1/AE3、AFP、Glypican-3、局灶HepPar1及SALL4阳性,Ki-67增殖指数约70%,p53呈突变型表达。

  • 经典AGCT区:Vimentin、α-inhibin、Calretinin、CD56、FOXL2及局灶SF-1阳性,Ki-67增殖指数约5%,p53呈野生型表达。

微信图片_2026-04-14_152732_401.png

图2. 肝样转化型(左)与经典型(右)的免疫表型特征


分子遗传学特征

针对肝样转化成分进行世和一号®大Panel检测发现:

  • FOXL2 c.402C>G(p.Cys134Trp)热点突变,突变丰度50.53%,明确提示其颗粒细胞来源;

  • TP53双突变(c.767del、c.588_589insTGA),突变丰度分别为 34.29%、32.47%,与免疫组化p53突变型表达一致;

  • 肿瘤突变负荷(TMB)为6.9 Mut/Mb,微卫星稳定(MSS)。

综上,该病例并非碰撞瘤或转移瘤,而是FOXL2突变的经典AGCT在演进过程中继发TP53异常,从而发生高级别肝样转化。

文献对比与临床意义

文献对比显示,此前AGCT高级别转化多见肉瘤样等类型,本次的肝样转化独立于既往所有类型,属于全新亚型;TP53异常出现在多数高级别转化病例中,支持其为AGCT发生高级别转化的关键驱动事件。

研究不仅拓展了AGCT高级别转化的病理与分子谱系,也进一步体现了NGS大Panel在罕见肿瘤鉴别诊断、分型及克隆演进分析中的价值。

专家简介

微信图片_2026-04-14_152737_787.png

林 静 教授

桂林医科大学第一附属医院病理科

主任医师、硕士研究生导师

  • International Society of Gynecological Pathologists国际妇科病理学家学会委员

  • 中国医药教育协会细胞病理学专业委员会常务委员

  • 中华医学会第14届病理学分会女性生殖学组委员

  • 中国抗癌协会肿瘤病理专业委员会细胞病理学组委员

  • 中国优生科学协会阴道镜和宫颈病理学分会委员会委员

  • 广西病理专业质量控制中心 副主委

  • 广西妇幼保健协会阴道镜和宫颈病理学分会副主委

  • 广西医师协会病理科医师分会常务委员

  • 广西抗癌协会肿瘤病理专业委员会常务委员

  • 桂林市医学会病理学专业委员会副主委

参考文献

Yang, Fan, et al. "Adult ovarian granulosa cell tumor with high-grade hepatoid transformation: Case report and review of literature." Pathology-Research and Practice (2026): 156426.